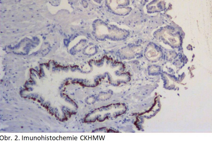
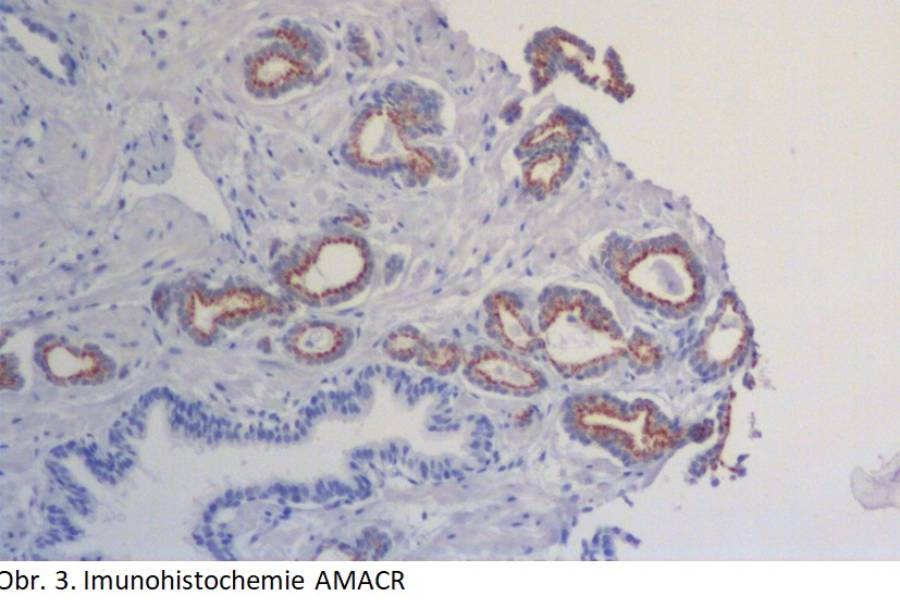
Karcinom prostaty je u mužů v České republice nejčastějším zhoubným onemocněním. Nově zakoupená imunohistochemická diagnostika pomůže lékařům novoměstské nemocnice s jeho včasným odhalením. „Diagnostika nádoru prostaty se neobejde bez bioptického vyšetření. V případech, které nejsou ze základního barvení v mikroskopických preparátech jednoznačně hodnotitelné, pomáhá imunohistochemické. V laboratoři provádíme u nádorů prostaty imunohistochemii na antigeny CKHMW a AMACR,“ říká primář novoměstského patologického oddělení Jan Brázdil.
Nádory varlat jsou ve srovnání s nádory prostaty vzácnější, ale zase se mohou objevit v mladším věku. „Ani u těchto nádorů se dnes v histologické diagnostice neobejdeme bez imunohistochemických vyšetření. Jako příklad je možné uvést nejčastější zhoubný nádor varlete – seminom,“ dodává primář.
Na zakoupení imunohistochemické diagnostiky věnoval nadační fond Muži proti rakovině novoměstské nemocnici částku 58 475 korun. Fond ale pomáhá nejen s přístrojovým vybavením. Je také organizátorem každoroční osvětové kampaně Movember. Charitativní holení, k němuž se novoměstská nemocnice pravidelně připojuje, vloni vydělalo bezmála dva a půl tisíce korun.


